Имплантация зубов в Нижнем Новгороде в рассрочку от 2000 ₽ в месяц
Нажимая на кнопку, вы даете согласие на обработку персональных данных и соглашаетесь c политикой конфиденциальности

Имплантация зубов в Кирове «под ключ» от 55 000 ₽

Запишитесь на консультацию имплантолога по акции

Приходите на консультацию, на которой врач проведёт осмотр, расскажет о состоянии ваших зубов и рассчитает точную стоимость имплантации.
Чтобы воспользоваться акцией, укажите ваше имя и телефон в форме ниже. Администратор позвонит вам и подберёт удобное время для консультации.
Стоимость: 0 ₽ 3840 ₽ до конца месяца.
Установка импланта за 1 посещение
Специализируемся на имплантации более 10 лет
Пожизненная гарантия на импланты
Лечение без боли с качественной анестезией

В каких случаях нужна имплантация

Грамотно проведённая имплантация возвращает полноту зубного ряда и предотвращает атрофию костной ткани.

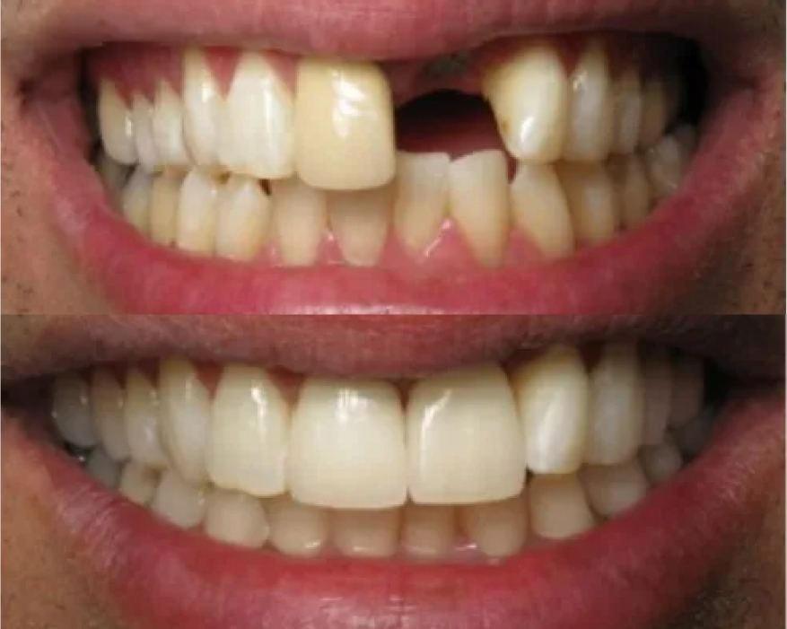
Отсутствие одного зуба

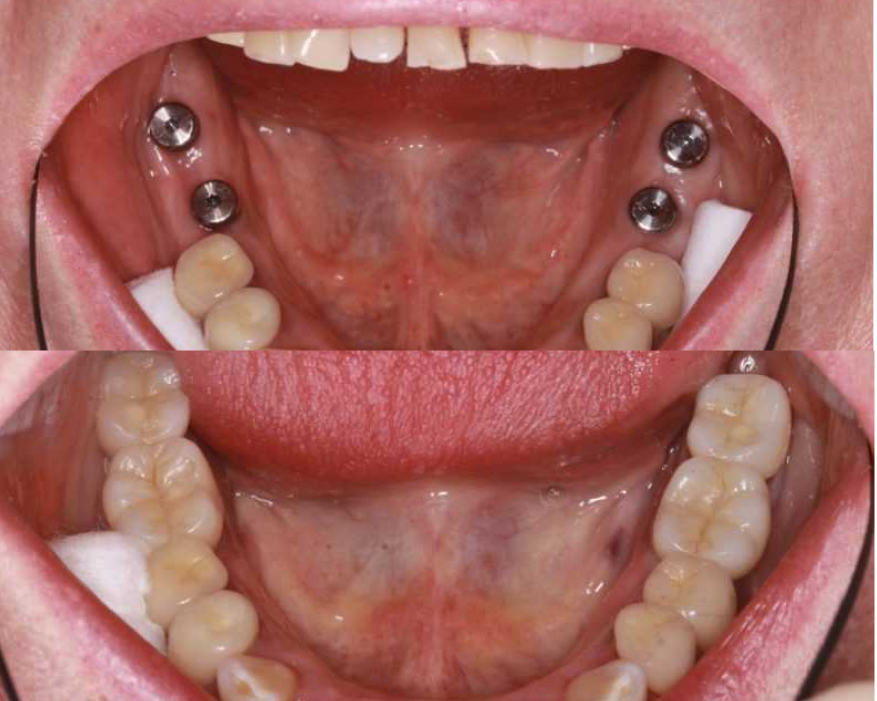
Отсутствие нескольких зубов

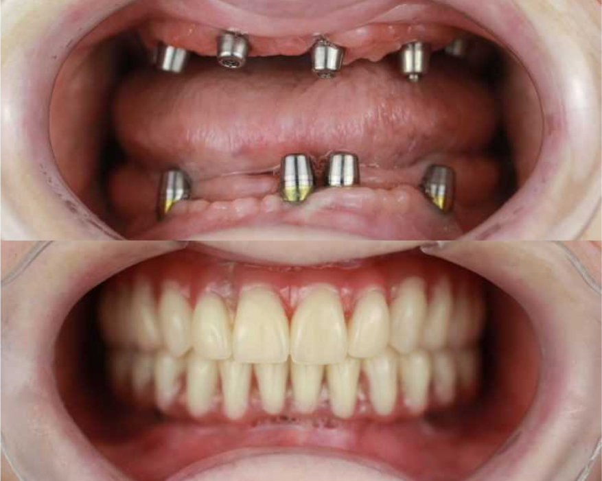
Отсутствие всех зубов

При частичной или полной адентии имплантация избавляет от неэстетичного вида зубов и проблем с принятием пищи.
В данном случае имплант служит опорой всех зубов, так же возвращает их функциональность и привлекательность улыбки.
Перед каждой имплантацией мы проводим полное обследование у нас в клинике. После чего составляется комплексный план лечения.

Этапы лечения

Перед каждой имплантацией мы проводим полное обследование у нас в клинике. После чего составляется комплексный план лечения.
Установка импланта
Включена стоимость импланта, работа врача-хирурга высшей категории и все необходимые материалы.
Формирование десны
Установка формирователя помогает подготовить десну к успешной установке будущего искусственного зуба.
Снятие слепков
Осуществляется техническое изготовление индивидуальных структур на устанавливаемый имплант.
Закрепление коронки
Включает фиксацию изготовленной коронки из металлокерамики, работу врача-ортопеда.
1
2
3
4
Что входит в бесплатную первичную консультацию?

Записаться на бесплатный приём и осмотр

Запишитесь на бесплатную консультацию. Врач подберет вам лучший вариант лечения.

Выбор даты и времени операции. Имплантация длится 20 минут — без болевых ощущений и отёков

5

Полный расчет стоимости восстановления зубов

3

Диагностика всей полости рта опытным стоматологом-хирургом

2

Нажимая на кнопку, вы даете согласие на обработну персональных данных и соглашаетесь с политикой конфиденциальности.

Сбор анамнеза и опеределение наличия противопоказаний

1

Составление нескольких вариантов планов лечения

4
Из чего складывается стоимость?

Установка имплантата

Установка коронки

Работа врача

Ренгеновский снимок

Имплант

+

+

+

=

=

от 30 000 ₽

от 25 000 ₽

Формирователь десны

Коронка
из металлкерамики

Рентгеновский снимок

+

Работа врача

Нажимая на кнопку, вы даете согласие на обработку персональных данных и соглашаетесь c политикой конфиденциальности
Ответьте на вопросы и узнайте стоимость
Заполните поля ниже, чтобы врач подобрал для вас вид и способ имплантации и рассчитал ориентировочную стоимость лечения.

Имплантация в рассрочку от 2500 ₽ в месяц

Условия рассрочки:
— от клиники до 1 года;
— возврат 13% НДФЛ;
— переплата 0%;
— оформим прямо в клинике без залога и поручителей.
Наши врачи провели более 300 имплантаций
Кузнецова Татьяна Георгевна — 34 года
Комплексное лечение + имплантация
До
После
Кожухов Юрий Григорьевич — 45 лет
Комплексное лечение + имплантация
До
После
Кудрявцева Ольга Ивановна — 30 лет
Комплексное лечение + имплантация
До
После
Михайлов Игорь Олегович — 35 лет
Комплексное лечение + имплантация
До
После
Кулешова Анна Владимировна — 36 лет
Комплексное лечение + имплантация
До
После
Самойлов Евгений Михайлович — 54 года
Комплексное лечение + имплантация
До
После
Видеоотзывы
Установка переднего зуба на имплантате
Ларина Нина Петровна — 52 года
Имплантация зубов
Имплантация All-on-4
Сухунов Павел Александрович — 50 лет
Миронова Ольга Сергеевна — 43 года
Зубной протез из металлокерамики
Лядова Анастасия Павловна — 53 года
Имплантация зубов
Комарова Алина Сергеевна — 42 года
В нашей клинике всегда чисто и уютно
Врачи клиники
В нашей клинике работают квалифицированные специалисты с опытом работы от 15 лет. Забота, чуткость и профессионализм — на этих принципах строится работа нашего коллектива.
Стоматолог-имплантолог
Терюхов Максим Александрович
Главный врач, врач-стоматолог, терапевт, ортопед
Терюхова Анжелика Александровна
Врач-стоматолог
Лунегова Ольга Сергеевна
Врач-стоматолог, терапевт
Орлова Алена Ильинична
Врач-стоматолог, хирург
Забоев Артем Андреевич
Врач-стоматолог, терапевт
Сорокина Наталья Владимировна
Задайте вопрос
В этой форме вы можете написать любой вопрос, который вас интересует. Мы ответим в течение 5-10 минут.
Нажимая на кнопку, вы даете согласие на обработку персональных данных и соглашаетесь c политикой конфиденциальности
Все страницы
Телефон для записи
Адрес клиники
г. Киров,
ул. Никитская, д. 135
Режим работы
Пн–пт: с 08:00 до 20:00
Сб: с 09:00 до 15:00
Вс: выходной
ООО «Стоматология Диэлит» ИНН: 4309005724 ОГРН: 1084312000519 КПП: 430901001
Обратный звонок
Заполните поля ниже и наш администратор перезвонит в течение 5 минут, чтобы записать вас на прием и ответить на интересующие вас вопросы.
Нажимая на кнопку, вы даете согласие на обработку персональных данных и соглашаетесь c политикой конфиденциальности
Узнать подробнее
Заполните поля ниже и наш администратор перезвонит в течение 5 минут, чтобы ответить на интересующие вас вопросы о вариантах оплаты лечения.
Нажимая на кнопку, вы даете согласие на обработку персональных данных и соглашаетесь c политикой конфиденциальности
Made on
Tilda